Have questions or want to book an appointment? Our friendly team is here to help, get in touch today!
Experience Halo Dental Today!
Our Services:
• General Dentistry – Routine check-ups, hygiene appointments, and preventative care
• Cosmetic Dentistry – Teeth whitening, veneers, and smile makeovers
• Teeth Straightening – Discreet orthodontic options for a confident smile (clear aligners and fixed braces)
• Restorative Treatments – Fillings, crowns, bridges, and dentures
• Dental Implants – Long-lasting solutions for missing teeth
• Emergency Care – Prompt, reliable treatment when you need it most
Your smile is our priority. Discover dentistry designed around you.
#halodental #sevenoaks #smile #dentist #invisalign
Take the guesswork out of your dream smile ✨
With composite bonding, you’re in control — choose the shape, shade, and style that suits you best.
Not sure how it’ll look? That’s where our trial smile comes in 👇
Test drive your new smile before committing.
✔️ Quick
✔️ Pain-free
✔️ Fully reversible
See your dream smile in your own mouth — with zero pressure to go ahead.
Ready to love your smile? 🤍 #HaloDental #SmileMakeover #CompositeBonding #TrialSmile
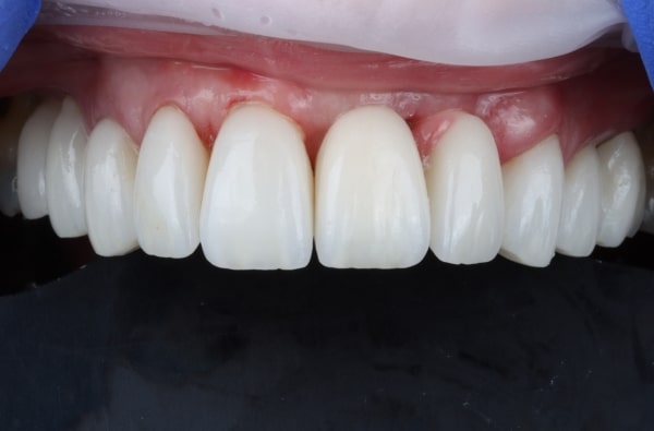
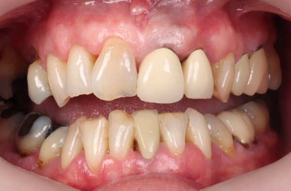
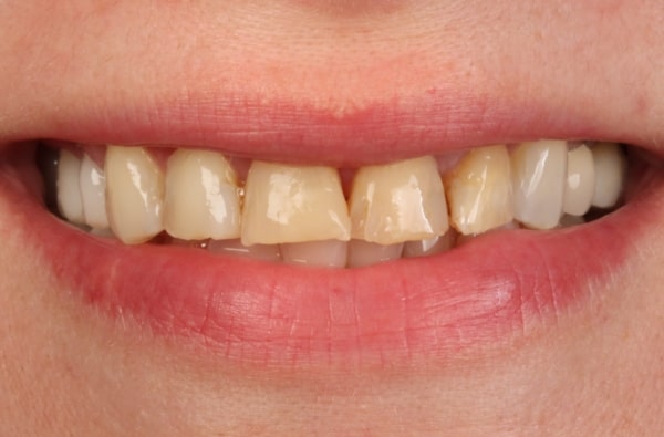
Out with the old, in with the new ✨
Here @drmanirai replaced old porcelain veneers to create a fresher, more natural and confident smile.
A subtle upgrade can make all the difference 🤍
#Smile #Makeover #Porcelain #Veneers #Dentist
Missing teeth? Let’s fix that 👀
Dental implants are the most effective, long-lasting solution for replacing missing teeth and restoring your smile and confidence.
✨ LIMITED TIME OFFER – FREE IMPLANT CONSULTATION ✨
At your consultation we’ll take detailed scans and X-rays and carry out a full assessment to see if implants are the right solution for you.
Book today and take the first step towards a healthier, happier smile.
📍 Unit 2, London Road, Sevenoaks TN13 1DW
📧 info@halo-dental.co.uk
📞 01732 445 231
📲 @halodentalsevenoaks
💷 0% finance options available
#Dental #implants #sevenoaks #smile #confidence