I’ve been a patient of Mani’s for about 3–4 years, and I honestly couldn’t recommend him more. He handled my Invisalign treatment and bonding with incredible care and attention to detail, and the results have been amazing. Mani always takes the time to explain everything clearly and makes you feel completely comfortable and confident in the process. When he recently opened his own dental practice, there was no question that I would follow him there. The same high standard of care continues, and it’s clear how much pride he takes in his work. If you’re looking for a dentist who is skilled, trustworthy, and genuinely cares about his patients, Mani is the one.
I had composite bonding and a filling done from Dr. Mani and I’m genuinely so happy with the results. He explained everything clearly, made sure I was comfortable throughout, and the whole process felt very calm and professional. The bonding looks really natural and the filling was quick and painless. Highly recommended!
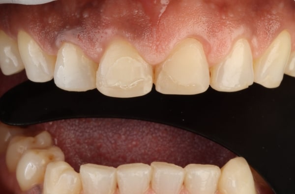
Dr Mani is amazing! Id had problems with a previous composite bonding with a different dentist. Dr Mani made sure that my tooth was fixed properly and took extra time and attention to detail to make it look exactly like my actual tooth. Would definitely recommend using Dr Mani!