Follow us:

instagram instagram facebook facebook whatsapp whatsapp
down yellow plain arrow down black plain arrow
down yellow plain arrow down black plain arrow
01732 445 231 Contact Us
down yellow plain arrow down black plain arrow

Testimonials

Trusted by our patients

logo yellow plain symbol

Contact Us

Ask Halo Dental Care

Have questions or want to book an appointment? Our friendly team is here to help, get in touch today!

Instagram

Meet Dr Harnek Kailey ✨ 

Our award-winning GP now offering anti-wrinkle Botox & dermal fillers here at Halo Dental Sevenoaks.

Known for his gentle, perfectionist approach, Dr Harnek ensures every treatment is safe, tailored, and beautifully natural 🤍

DM us to book 💬 

#facialaesthetics #dermalfiller #botox #skin #confidence

...

18 3
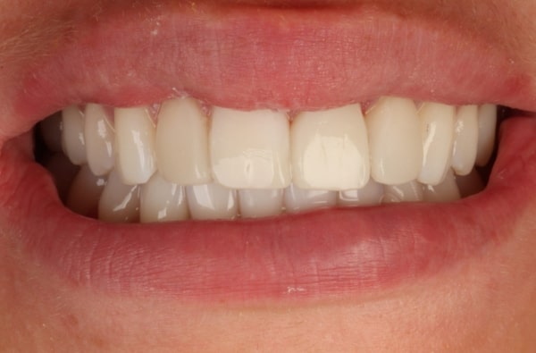
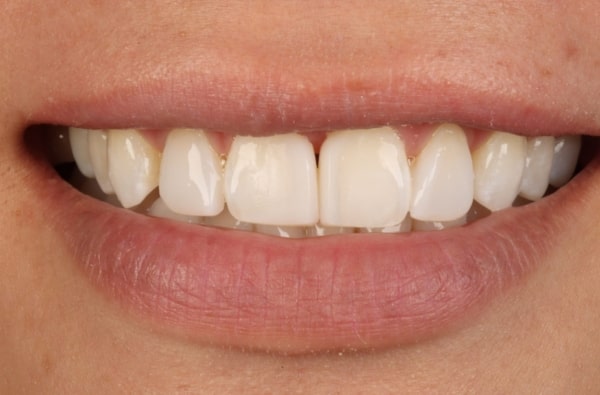
Cosmetic dentistry is guided by principles of symmetry, proportion, and balance — our job is to find the harmony that feels right for each patient. 

My lovely patient came to see me concerned about the gaps between her teeth. We used clear aligners, home whitening, and minimal edge bonding to achieve a beautifully natural finish.

Treatment journey:
1️⃣ 6 months of clear aligners
2️⃣ Home whitening
3️⃣ Composite edge bonding

- DM to book your FREE consultation 
- 0% finance available 

#halodental #dentist #sevenoaks #smile #aligners

...

50 7
Nice to meet you 🤝

#halodental #sevenoaks #dental #humour #dentistlife

...

89 15
✨ Meet the Halo Team ✨

At Halo Dental, our dedicated team is here for all your dental needs.

From routine general dentistry to advanced treatments, including dental implants and smile makeovers, your care is always tailored around you.

With our experienced clinicians and specialist orthodontist, we create healthy, confident smiles using the latest techniques and technology.

💬 Drop us a DM today to book your FREE consultation.

#halodental #dentist #sevenoaks #dentistry #cosmetics

...

82 24
Google Rating
5.0
Google Rating
Google-review